Skip to content Skip to sidebar Skip to footer

Blasenkrebs Im Ultraschall Sichtbar

Praxis Dr Helligrath Ultraschall Galerie

Praxis Dr Helligrath Ultraschall Galerie

Blasenkrebs im ultraschall sichtbar. Blasenkrebs kann als Folge einer Strahlentherapie entstehen. Wirken Lymphknoten verdächtig veranlassen Ärzte in der Regel eine Biopsie oder Lymphknotenentnahme. Dabei können die Ärzte über einen dünnen Schlauch Veränderungen der Blasenschleimhaut von innen sehen.

Die Untersuchung durch den Facharzt ist daher unerlässlich. Anschließend erfolgt eine Untersuchung der. Ein Blasenkatheter kann auch mithilfe des Ultraschalls dargestellt werden.

Sie stellt zusammen mit der Biopsie Gewebeprobeentnahme die wichtigste Untersuchung für die Diagnose von Blasenkrebs dar. Neben gerätebasierten Tests gibt es Schnelltests die verschiedene Blasenkrebsmarker Proteine Antigene nachweisen. So stellen Ärzte beispielsweise bei Patienten mit einem Gebärmuttertumor ein erhöhtes Risiko für.

Es gibt keine Tumormarker im Blut die spezifisch für Blasenkrebs sind. Per Ultraschall lassen sich auch mögliche andere Ursachen für Beschwerden erkennen beispielsweise Nieren- Blasen-. Somit sind sie zur Vorsorge Diagnose und Therapieüberwachung von Blasenkrebs geeignet.

Ein Vorteil der Urin-Tests besteht im Wesentlichen darin dass sie einfach und ohne Belastung für den Patienten durchgeführt werden können. Bei einem positiven Befund wird eine Gewebeprobe des Harnblasentumors entnommen. Liegt ein invasiver Harnblasentumor vor sind tiefgreifende Maßnahmen nötig.

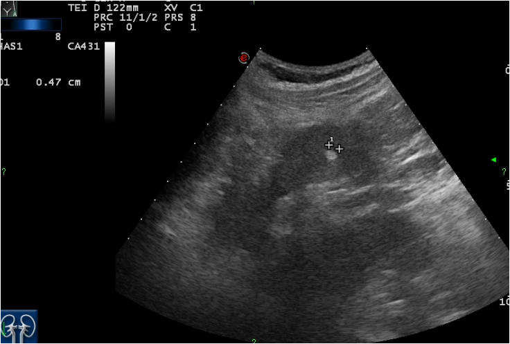
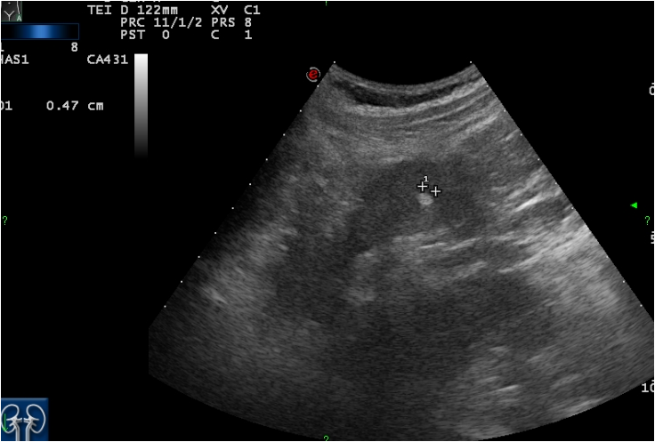
Die Ultraschalluntersuchung Sonografie ist meist die erste bildgebende Untersuchung bei Verdacht auf Blasenkrebs. Die Klassifikation Stadieneinteilung oder Staging genannt ist ein wichtiger Baustein für die Wahl der optimalen Therapie. Dabei kann der Arzt Blase Nieren und Harnwege begutachten.

Aus verdächtigen Bereichen kann der Untersucher bei der Blasenspiegelung Gewebe entnehmen und im Labor untersuchen lassen. Allgemein Erstellt von 0 Kommentare Erstellt von 0 Kommentare.

Ultraschall Der Harnblase

Ultraschall Der Harnblase

Praxis Dr Helligrath Ultraschall Galerie

Praxis Dr Helligrath Ultraschall Galerie

Blasenkrebs Blasentumor Und Prostatakrebs Beim Hund

Blasenkrebs Blasentumor Und Prostatakrebs Beim Hund

Praxis Dr Helligrath Ultraschall Galerie

Praxis Dr Helligrath Ultraschall Galerie

Blasenkrebs Anzeichen Ursachen Therapie Reha

Blasenkrebs Anzeichen Ursachen Therapie Reha

Ultraschall Urologe In Hattingen

Ultraschall Urologe In Hattingen

Https Www Tierklinik Neandertal De Uploads Downloads Tumorarten Blasentumor Pdf

Https Www Tierklinik Neandertal De Uploads Downloads Tumorarten Blasentumor Pdf

Diagnostik Bei Verdacht Auf Blasenkrebs

Diagnostik Bei Verdacht Auf Blasenkrebs

Ultraschall Univ Prof Dr Christian P Schmidbauer Urologie Wien Univ Prof Dr Christian P Schmidbauer

Ultraschall Univ Prof Dr Christian P Schmidbauer Urologie Wien Univ Prof Dr Christian P Schmidbauer

Kinderurologische Krankheitsbilder Springerlink

Kinderurologische Krankheitsbilder Springerlink

Http Www Praxishohenfellner Com Site Assets Files 1033 Forum Sanitas 1 07 Blasenkrebs Pdf

Http Www Praxishohenfellner Com Site Assets Files 1033 Forum Sanitas 1 07 Blasenkrebs Pdf

Frauenarzt Dr Jonas Frauenarztin Maren Lutje Hannover Hainholzfranz Christian Jonas Frauenarzt

Frauenarzt Dr Jonas Frauenarztin Maren Lutje Hannover Hainholzfranz Christian Jonas Frauenarzt

Selbsthilfe Bund Blasenkrebs E V Blasenkrebs Was Nun Diagnostik Selbsthilfe Bund Blasenkrebs E V

Selbsthilfe Bund Blasenkrebs E V Blasenkrebs Was Nun Diagnostik Selbsthilfe Bund Blasenkrebs E V

Blasenkrebs Symptome Ursachen Behandlung Onmeda De

Blasenkrebs Symptome Ursachen Behandlung Onmeda De

Symptome Und Diagnostik Primarer Harnrohrenkrebs Pi De

Symptome Und Diagnostik Primarer Harnrohrenkrebs Pi De

Ultraschall Haufig Gestellte Fragen

Ultraschall Haufig Gestellte Fragen

Blasenkrebs So Erkennen Sie Ein Harnblasenkarzinom Liebenswert Magazin

Blasenkrebs So Erkennen Sie Ein Harnblasenkarzinom Liebenswert Magazin

Diagnostische Bildgebung Des Urogenitaltraktes

Diagnostische Bildgebung Des Urogenitaltraktes

Https Www Evk Witten De Files 8 24938 Uronews 2012 05 Pdf

Https Www Evk Witten De Files 8 24938 Uronews 2012 05 Pdf

Harnwegserkrankungen Beim Hund Nicht Immer Nur Eine Blasenentzundung Hunderunden

Harnwegserkrankungen Beim Hund Nicht Immer Nur Eine Blasenentzundung Hunderunden

Frauenarzt Dr Jonas Frauenarztin Maren Lutje Hannover Hainholzfranz Christian Jonas Frauenarzt

Frauenarzt Dr Jonas Frauenarztin Maren Lutje Hannover Hainholzfranz Christian Jonas Frauenarzt

Minimally Invasive Establishment Of Murine Orthotopic Bladder Xenografts Protocol Translated To German

Minimally Invasive Establishment Of Murine Orthotopic Bladder Xenografts Protocol Translated To German

Hydrozele Erlauterung Symptome Ursachen Und Behandlung

Hydrozele Erlauterung Symptome Ursachen Und Behandlung

Https Encrypted Tbn0 Gstatic Com Images Q Tbn And9gctasvefcfhmjgkpw1yf211aoezfwxc8oiqfjs5dyurhrg4z40qw Usqp Cau

Https Encrypted Tbn0 Gstatic Com Images Q Tbn And9gctasvefcfhmjgkpw1yf211aoezfwxc8oiqfjs5dyurhrg4z40qw Usqp Cau

Frauenarzt Dr Jonas Frauenarztin Maren Lutje Hannover Hainholzfranz Christian Jonas Frauenarzt

Frauenarzt Dr Jonas Frauenarztin Maren Lutje Hannover Hainholzfranz Christian Jonas Frauenarzt

Moderne Bildgebung Und Rontgenuntersuchung In Der Urologie Urologie Amriswil

Moderne Bildgebung Und Rontgenuntersuchung In Der Urologie Urologie Amriswil

Blasenkrebs Harnblasenkarzinom Apotheken Umschau

Blasenkrebs Harnblasenkarzinom Apotheken Umschau

Eierstockkrebs Warum Frauenarzte Auf Dem Ultraschall Beharren Medwatch Der Recherche Verschrieben

Eierstockkrebs Warum Frauenarzte Auf Dem Ultraschall Beharren Medwatch Der Recherche Verschrieben

Dr Neumeister Und Dr Thein Coburg

Dr Neumeister Und Dr Thein Coburg

Harnblase Wikipedia

Harnblase Wikipedia

Erste Anzeichen Fur Blasenkrebs Erkennen Gynpraxis Mitte

Erste Anzeichen Fur Blasenkrebs Erkennen Gynpraxis Mitte

Frauenarzt Dr Jonas Frauenarztin Maren Lutje Hannover Hainholzfranz Christian Jonas Frauenarzt

Frauenarzt Dr Jonas Frauenarztin Maren Lutje Hannover Hainholzfranz Christian Jonas Frauenarzt

Frauenarzt Dr Jonas Frauenarztin Maren Lutje Hannover Hainholzfranz Christian Jonas Frauenarzt

Frauenarzt Dr Jonas Frauenarztin Maren Lutje Hannover Hainholzfranz Christian Jonas Frauenarzt

Blasenkrebs Symptome Erkennen

Blasenkrebs Symptome Erkennen

Frauenarzt Dr Jonas Frauenarztin Maren Lutje Hannover Hainholzfranz Christian Jonas Frauenarzt

Frauenarzt Dr Jonas Frauenarztin Maren Lutje Hannover Hainholzfranz Christian Jonas Frauenarzt

Blasenkrebs Focus Arztsuche

Blasenkrebs Focus Arztsuche

Blasenkrebs Anzeichen Ursachen Therapie Reha

Blasenkrebs Anzeichen Ursachen Therapie Reha

Doktorweigl Erklart Blasenkrebs Wie Wird Er Behandelt

Doktorweigl Erklart Blasenkrebs Wie Wird Er Behandelt

Harnblase Ultraschalldiagnose Bimedis Youtube

Harnblase Ultraschalldiagnose Bimedis Youtube

Blasentumor Test Ermoglicht Fruhzeitige Diagnose

Blasentumor Test Ermoglicht Fruhzeitige Diagnose

Bildfusion Von Mrt Und Ultraschall Bei Abdominellen Tumoren Healthcare In Europe Com

Bildfusion Von Mrt Und Ultraschall Bei Abdominellen Tumoren Healthcare In Europe Com

Behandlung Von Harnsteinen Kantonsspital Baden Ksb

Behandlung Von Harnsteinen Kantonsspital Baden Ksb

Diagnostische Bildgebung Des Urogenitaltraktes

Diagnostische Bildgebung Des Urogenitaltraktes

Tumore Der Harnblase Tierklinik De

Tumore Der Harnblase Tierklinik De

Blasenkrebs Blasentumor Und Prostatakrebs Beim Hund

Blasenkrebs Blasentumor Und Prostatakrebs Beim Hund

Harnblasendivertikel Ursache Diagnose Und Therapie

Harnblasendivertikel Ursache Diagnose Und Therapie

Bildfusion Von Mrt Und Ultraschall Bei Abdominellen Tumoren Healthcare In Europe Com

Bildfusion Von Mrt Und Ultraschall Bei Abdominellen Tumoren Healthcare In Europe Com

Frauenarzt Dr Jonas Frauenarztin Maren Lutje Hannover Hainholzfranz Christian Jonas Frauenarzt

Frauenarzt Dr Jonas Frauenarztin Maren Lutje Hannover Hainholzfranz Christian Jonas Frauenarzt

Https Encrypted Tbn0 Gstatic Com Images Q Tbn And9gctvlqgfdobx Spcidhecqzrx Bg84ljfoujf4bxcgi Usqp Cau

Https Encrypted Tbn0 Gstatic Com Images Q Tbn And9gctvlqgfdobx Spcidhecqzrx Bg84ljfoujf4bxcgi Usqp Cau

Bei einem positiven Befund wird eine Gewebeprobe des Harnblasentumors entnommen.

Eine Ultraschalluntersuchung ermöglicht auch Blasensteine oder einen Blasentumor zu entdecken. Wirken Lymphknoten verdächtig veranlassen Ärzte in der Regel eine Biopsie oder Lymphknotenentnahme. Per Ultraschall lassen sich auch mögliche andere Ursachen für Beschwerden erkennen beispielsweise Nieren- Blasen-. Blasenkrebs kann als Folge einer Strahlentherapie entstehen. Blasenkrebs Mit der Diagnose Blasenkrebs hat der Patient nicht gerechnet. Sofern der Verdacht auf Blasenkrebs besteht nimmt der Arzt eine gründliche Untersuchung vor. Sie stellt zusammen mit der Biopsie Gewebeprobeentnahme die wichtigste Untersuchung für die Diagnose von Blasenkrebs dar. Ziel der Diagnostik ist eine möglichst frühzeitige Diagnosestellung und die Erhärtung oder Ausräumung des Verdachts auf Blasenkrebs. So stellen Ärzte beispielsweise bei Patienten mit einem Gebärmuttertumor ein erhöhtes Risiko für.


Die wichtigste Untersuchung zur Diagnose-Stellung ist die Spiegelung der Harnblase die sogenannte Zystoskopie. Es gibt keine Tumormarker im Blut die spezifisch für Blasenkrebs sind. Per Tastuntersuchung nimmt er dabei die Nierengegend den Unterbauch und die Geschlechtsorgane unter die Lupe. Blasenkrebs Mit der Diagnose Blasenkrebs hat der Patient nicht gerechnet. Liegt ein invasiver Harnblasentumor vor sind tiefgreifende Maßnahmen nötig. Wirken Lymphknoten verdächtig veranlassen Ärzte in der Regel eine Biopsie oder Lymphknotenentnahme. Die Ultraschalluntersuchung Sonografie ist meist die erste bildgebende Untersuchung bei Verdacht auf Blasenkrebs.

Post a Comment for "Blasenkrebs Im Ultraschall Sichtbar"