Skip to content Skip to sidebar Skip to footer

Weiße Flecken Auf Mrt Bild Wirbelsäule

Myelopathie Schadigung Des Ruckenmarks Dr Christopoulos

Myelopathie Schadigung Des Ruckenmarks Dr Christopoulos

Weiße flecken auf mrt bild wirbelsäule. Weiße Stellen sind bei mir Entzündungen und Ödeme. Ist die Aufnahme von vorne oder von hinten. Habe ich letzte Woche zufällig entdeckt als ich zuhause die CD angeschaut habe.

Ich weiß natürlich nicht wie es bei dir ist. Ich war eigentlich aus einem ganz anderen orthopädischen Grund in der Röhre Was könnte das sein. Je nach Ausmaß der Rückenschmerzen werden von der Halswirbelsäule HWS der Brustwirbelsäule BWS oder der Lendenwirbelsäule LWS durch Optimierungsprozesse der jeweiligen Untersuchung hochauflösende und dünnschichtige Bilder in Top-Qualität erstellt.

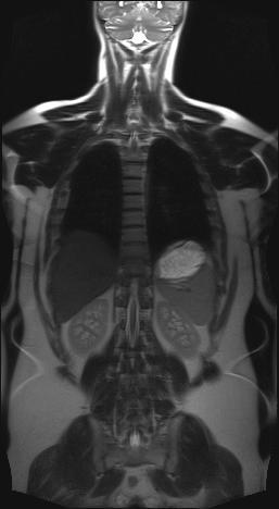
Röntgenbild der gleichen Person fast fehlende Bandscheibe Entzündung ist im Röntgenbild nicht zu erkennen. Es handelt sich um eine Schnittbild im coronaren Strahlengang parallel zur Stirn Der weisse Fleck ist ein Anschnitt der Aorta die dort einen Bogen macht. Bei der Diagnose von Intervertebralhernie und Instabilität der Wirbelsäule in den Bereichen der Übergangswirbel ist es sehr bezeichnend MRI mit Vertikalisierung durchzuführen.

Habe den beginn eines Morbus Bechterew. Wie die Vorschreiber schon äußerten. Unspezifische Veränderungen der weißen Substanz haben typischerweise mehr als eine Ursache.

Zur weiteren Differenzierung zwischen den Ursachen der Flecken sind Tests erforderlich die in der Regel durch einen Neurologen durchgeführt werden. Dabei wird Energie frei welche von Bildaufnehmern registriert wird. Hallo ich hatte vor ca.

Die Kernspintomographie ist für eine frühzeitige und verlässliche Diagnose von. Sind die Flecken. Diese Veränderungen wurden mit Problemen wie Schlaganfall kognitiver Verfall Depression und verminderter körperlicher Funktion wie Gehen in Verbindung gebracht.

Auf diese Weise können millimetergenaue Längs- und Querschnitte einzelner Organe z. Die Erklärung eines MRT-Bildes hört sich erstmal kompliziert an.

Entzundung Der Wirbelsaule Krankenhaus Barmherzige Bruder Regensburg

Entzundung Der Wirbelsaule Krankenhaus Barmherzige Bruder Regensburg

Mrt Weisse Flecken Medizin

Mrt Weisse Flecken Medizin

Tumor An Wirbelsaule Oder Ruckenmark Krankenhaus Barmherzige Bruder Regensburg

Tumor An Wirbelsaule Oder Ruckenmark Krankenhaus Barmherzige Bruder Regensburg

Spinale Tumoren Tumoren An Der Wirbelsaule Schulthess Klinik

Spinale Tumoren Tumoren An Der Wirbelsaule Schulthess Klinik

Wirbelsaulenmetastasen Konnen Sich Mit Nachtlichen Schmerzen Bemerkbar Machen Medical Tribune

Wirbelsaulenmetastasen Konnen Sich Mit Nachtlichen Schmerzen Bemerkbar Machen Medical Tribune

Rontgen Bilder Von Patienten Selbst Diagnose Stellen Wie Ein Arzt Der Spiegel

Rontgen Bilder Von Patienten Selbst Diagnose Stellen Wie Ein Arzt Der Spiegel

Klinik Und Poliklinik Fuer Neurochirurgie Spinale Tumoren

Klinik Und Poliklinik Fuer Neurochirurgie Spinale Tumoren

Mrt Bild Deuten Wirbelsaule Radiologie

Mrt Bild Deuten Wirbelsaule Radiologie

Unschlagbar Die Ganzkorper Mrt Bei Knochenmetastasen Healthcare In Europe Com

Unschlagbar Die Ganzkorper Mrt Bei Knochenmetastasen Healthcare In Europe Com

Magnetresonanztomographie Der Wirbelsaule Ct Mrt Institut Berlin

Magnetresonanztomographie Der Wirbelsaule Ct Mrt Institut Berlin

Mrt Bilder Was Ist Hier Zu Sehen Tumor Radiologie

Mrt Bilder Was Ist Hier Zu Sehen Tumor Radiologie

Regionales Schmerzzentrum Dgs Diez

Regionales Schmerzzentrum Dgs Diez

Tumor Im Ruckenmark Teil 20 Erneute Untersuchung Und Entwarnung

Tumor Im Ruckenmark Teil 20 Erneute Untersuchung Und Entwarnung

Klinik Und Poliklinik Fuer Neurochirurgie Spinale Tumoren

Klinik Und Poliklinik Fuer Neurochirurgie Spinale Tumoren

Magnetresonanztomographie Der Wirbelsaule Ct Mrt Institut Berlin

Magnetresonanztomographie Der Wirbelsaule Ct Mrt Institut Berlin

Tumore Der Wirbelsaule Spinale Tumore Avicenna Klinik

Tumore Der Wirbelsaule Spinale Tumore Avicenna Klinik

Ratselhafter Patient Gefahrliche Ruckenschmerzen Bei Schwangerschaft Der Spiegel

Ratselhafter Patient Gefahrliche Ruckenschmerzen Bei Schwangerschaft Der Spiegel

Morbus Incognitus Knochenmark Healthcare In Europe Com

Morbus Incognitus Knochenmark Healthcare In Europe Com

Tumore Der Wirbelsaule Spinale Tumore Avicenna Klinik

Tumore Der Wirbelsaule Spinale Tumore Avicenna Klinik

Im Mrt Ist Ein Grosser Weisser Fleck Ist Das Krebs

Im Mrt Ist Ein Grosser Weisser Fleck Ist Das Krebs

Erosive Osteochondrose Gemeinschaftspraxis Fur Neurochirurgie

Erosive Osteochondrose Gemeinschaftspraxis Fur Neurochirurgie

Mrt Hws Halswirbelsaule Grunde Ablauf Dauer Praktischarzt

Mrt Hws Halswirbelsaule Grunde Ablauf Dauer Praktischarzt

Klinik Und Poliklinik Fuer Neurochirurgie Spinale Tumoren

Klinik Und Poliklinik Fuer Neurochirurgie Spinale Tumoren

Https Encrypted Tbn0 Gstatic Com Images Q Tbn And9gctz6w2cdngcv6uidkfsrmllmuhqalur3 Rzwkrzv95xxnvcezue Usqp Cau

Https Encrypted Tbn0 Gstatic Com Images Q Tbn And9gctz6w2cdngcv6uidkfsrmllmuhqalur3 Rzwkrzv95xxnvcezue Usqp Cau

Https Link Springer Com Content Pdf 10 1007 2f978 3 642 57630 0 15 Pdf

Https Link Springer Com Content Pdf 10 1007 2f978 3 642 57630 0 15 Pdf

Knochenmarkodem Orthopadische Chirurgie Bayreuth

Knochenmarkodem Orthopadische Chirurgie Bayreuth

Bandscheiben Forum Schmerzen Im Bereich Der Hws Nacken Schulter

Bandscheiben Forum Schmerzen Im Bereich Der Hws Nacken Schulter

Mrt Hws Halswirbelsaule Grunde Ablauf Dauer Praktischarzt

Mrt Hws Halswirbelsaule Grunde Ablauf Dauer Praktischarzt

Weisser Fleck Mrt Bild Medizin

Weisser Fleck Mrt Bild Medizin

Bandscheibenvorfall In Mrt Aufnahme By Radiologietv Youtube

Bandscheibenvorfall In Mrt Aufnahme By Radiologietv Youtube

Mrt Wirbelsaule Die Ursachen Fur Ruckenschmerzen Finden

Mrt Wirbelsaule Die Ursachen Fur Ruckenschmerzen Finden

Mrt Wirbelsaule Tierklinik Schwanenstadt

Mrt Wirbelsaule Tierklinik Schwanenstadt

Mrt Lws Bsv

Mrt Lws Bsv

Https Www Thieme Connect De Products Ebooks Pdf 10 1055 B 0036 136252 Pdf

Https Www Thieme Connect De Products Ebooks Pdf 10 1055 B 0036 136252 Pdf

Mrt Untersuchung Des Ellenbogens In Top Qualitat Alta Klinik

Mrt Untersuchung Des Ellenbogens In Top Qualitat Alta Klinik

Bildgebung Peripherer Nerven

Bildgebung Peripherer Nerven

Darstellung Von Wirbelsaule Und Gelenken Digitales Rontgen Und Mrt

Darstellung Von Wirbelsaule Und Gelenken Digitales Rontgen Und Mrt

Was Sind Das Fur Helle Punkte Im Mrt Bild

Was Sind Das Fur Helle Punkte Im Mrt Bild

Patienteninfo Chefarzt Prof Dr Med Matthias Bollow Radiologie Augusta Kranken Anstalt Ggmbh

Patienteninfo Chefarzt Prof Dr Med Matthias Bollow Radiologie Augusta Kranken Anstalt Ggmbh

Klinik Und Poliklinik Fuer Neurochirurgie Spinale Tumoren

Klinik Und Poliklinik Fuer Neurochirurgie Spinale Tumoren

Erosive Osteochondrose Gemeinschaftspraxis Fur Neurochirurgie

Erosive Osteochondrose Gemeinschaftspraxis Fur Neurochirurgie

Mrt Der Lendenwirbelsaule

Mrt Der Lendenwirbelsaule

Https Link Springer Com Content Pdf 10 1007 2f978 3 642 57630 0 15 Pdf

Https Link Springer Com Content Pdf 10 1007 2f978 3 642 57630 0 15 Pdf

Https Www Thieme Connect De Products Ebooks Pdf 10 1055 B 0038 160038 Pdf

Https Www Thieme Connect De Products Ebooks Pdf 10 1055 B 0038 160038 Pdf

Rontgen Bilder Von Patienten Selbst Diagnose Stellen Wie Ein Arzt Der Spiegel

Rontgen Bilder Von Patienten Selbst Diagnose Stellen Wie Ein Arzt Der Spiegel

Mrt Wirbelsaule Tierklinik Schwanenstadt

Mrt Wirbelsaule Tierklinik Schwanenstadt

Myelopathie Schadigung Des Ruckenmarks Dr Christopoulos

Myelopathie Schadigung Des Ruckenmarks Dr Christopoulos

Magnetresonanztomographie Von Gelenken Und Extremitaten Ct Mrt Institut Berlin

Magnetresonanztomographie Von Gelenken Und Extremitaten Ct Mrt Institut Berlin

Https Encrypted Tbn0 Gstatic Com Images Q Tbn And9gcsb Qcvf8ydi18cteg0w1otsror75qhl2mjdr1xotqfy2gcwpcs Usqp Cau

Https Encrypted Tbn0 Gstatic Com Images Q Tbn And9gcsb Qcvf8ydi18cteg0w1otsror75qhl2mjdr1xotqfy2gcwpcs Usqp Cau

7 Wochen ein MRT der HWS mit der Diagnose Foraminastenose bds cervicaler Bandscheibenschaden Z.

Die Kernspintomographie ist für eine frühzeitige und verlässliche Diagnose von. Jahrelang wurde davon ausgegangen dass sich diese Veränderungen auf die weiße Gehirnsubstanz beschränken. Bei Zysten oder Vernarbungen im Bereich des Gehirns hindeuten. Wenn mehrere vernarbte Stellen größere Herde bilden spricht man von Plaques. Bei dem weißen Punkt rechts im Bild neben der Halswirbelsäule handelt es sich um eine Markierung auf der Haut die den Schmerzpunkt anzeigt. Es handelt sich um eine Schnittbild im coronaren Strahlengang parallel zur Stirn Der weisse Fleck ist ein Anschnitt der Aorta die dort einen Bogen macht. Ich weiß aber wie quälend es ist solange auf die Befundbesprechung zu warten. Ist die Aufnahme von vorne oder von hinten. Die Kernspintomographie ist für eine frühzeitige und verlässliche Diagnose von.


Bei Zysten oder Vernarbungen im Bereich des Gehirns hindeuten. Zur weiteren Differenzierung zwischen den Ursachen der Flecken sind Tests erforderlich die in der Regel durch einen Neurologen durchgeführt werden. Das Rückenmark als Schlüssel zur MS-Diagnostik. MRT der LWS T2 linkes Bild Weiß kann man die Entzündung der Lendenwirbelsäule erkennen da die Bandscheibe durch die Fehlstellung aufgebraucht wurde und nun Knochen auf Knochen reibt und eine Entzündung des Knochens entsteht. Ich habe viele mrt bilder von mir daheim. 7 Wochen ein MRT der HWS mit der Diagnose Foraminastenose bds cervicaler Bandscheibenschaden Z. Ein Computer wandelt diese Signalen in sichtbare Bilder um.

Post a Comment for "Weiße Flecken Auf Mrt Bild Wirbelsäule"