Skip to content Skip to sidebar Skip to footer

Buckle Fracture Wrist Treatment

Buckle Fracture Causes Symptoms Diagnosis Treatment

Buckle Fracture Causes Symptoms Diagnosis Treatment

Buckle fracture wrist treatment. Treatment with immobilization with a removable splint is used as needed to reduce pain and to protect against re-injury. A support device such as a cast or splint may be needed to support and protect your childs bone while it heals. The patient should be reviewed on the following day to confirm the diagnosis and to give appropriate advice.

Splinting in the ED with primary care follow-up appears to be a reasonable management strategy for thes. X-rays will show if your child has a buckle fracture. Casting for wrist buckle fractures in children.

Treatment of a Wrist Buckle Introduction Your child has sustained an injury of the wrist bone which your doctor has diagnosed as a Buckle Fracture. The splint protects the bone and allows it to heal. Orthopedic follow-up visits and radiographic follow-up may have minimal utility in the treatment of pediatric wrist buckle fractures.

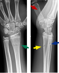
The injury may be difficult to see on x-ray. How do I wash the splint. The injury is commonly caused by falling onto the arm.

Research has shown that wrist buckle fractures will heal well in a splint which gives support and protection. Buckle fractures heal quickly with a splint. Treatment We have provided your child with a wrist.

This will also help decrease pain. The wrist may be tender slightly swollen and painful to move. A splint is usually put on first which keeps the limb in place for the first few days until the swelling goes down.

In most cases a buckle fracture is treated with a splint and cast. What is the treatment.

Buckle Fracture Raleigh Hand Surgery Joseph J Schreiber Md

Buckle Fracture Raleigh Hand Surgery Joseph J Schreiber Md

What Level Of Immobilisation Is Necessary For Treatment Of Torus Buckle Fractures Of The Distal Radius In Children The Bmj

What Level Of Immobilisation Is Necessary For Treatment Of Torus Buckle Fractures Of The Distal Radius In Children The Bmj

Orthokids Forearm Fractures

Orthokids Forearm Fractures

Fracture How To Treat A Buckle Fracture Of The Distal Radius

Fracture How To Treat A Buckle Fracture Of The Distal Radius

Buckle Fractures Of The Distal Radius In Children Cmaj

Buckle Fractures Of The Distal Radius In Children Cmaj

Orthokids Forearm Fractures

Orthokids Forearm Fractures

Radiology Case 5 Springerlink

Radiology Case 5 Springerlink

Torus Fracture Wikipedia

Torus Fracture Wikipedia

Kids Health Information Fracture Care Buckle Injury

Kids Health Information Fracture Care Buckle Injury

Cureus Improving Management Of Paediatric Buckle Fracture In Orthopaedic Outpatients A Completed Audit Loop

Cureus Improving Management Of Paediatric Buckle Fracture In Orthopaedic Outpatients A Completed Audit Loop

Figure 1 From Pediatric Wrist Buckle Fractures Should We Just Splint And Go Semantic Scholar

Figure 1 From Pediatric Wrist Buckle Fractures Should We Just Splint And Go Semantic Scholar

Emergency Medicine Pearls Pitfalls For Treatment Of Pediatric Distal Radius Fractures Acep Now

Emergency Medicine Pearls Pitfalls For Treatment Of Pediatric Distal Radius Fractures Acep Now

Buckle Fracture

Buckle Fracture

Buckle Fracture Raleigh Hand Surgery Joseph J Schreiber Md

Buckle Fracture Raleigh Hand Surgery Joseph J Schreiber Md

Choosing Wisely Distal Radius Buckle Fractures Canadiem

Choosing Wisely Distal Radius Buckle Fractures Canadiem

The Pediatric Wrist Buckle Fracture Is Common Louisville Bones

The Pediatric Wrist Buckle Fracture Is Common Louisville Bones

Torus Fracture Definition Causes Diagnosis Torus Fracture Treatment

Torus Fracture Definition Causes Diagnosis Torus Fracture Treatment

Buckle Torus Fracture Of An Arm

Buckle Torus Fracture Of An Arm

Kids Health Information Fracture Care Buckle Injury

Kids Health Information Fracture Care Buckle Injury

Wrist Buckle Fracture Sydney Children S Hospitals Network

Wrist Buckle Fracture Sydney Children S Hospitals Network

Buckle Fracture Raleigh Hand Surgery Joseph J Schreiber Md

Buckle Fracture Raleigh Hand Surgery Joseph J Schreiber Md

Orthokids Forearm Fractures

Orthokids Forearm Fractures

A New Rule For Differentiating Stable Buckle And Other Distal Radius Fractures

A New Rule For Differentiating Stable Buckle And Other Distal Radius Fractures

Https Encrypted Tbn0 Gstatic Com Images Q Tbn And9gctxtq9 5brpab57yovp76r S983 Tvrvrfbgaxjvygaqdldjg1g Usqp Cau

Https Encrypted Tbn0 Gstatic Com Images Q Tbn And9gctxtq9 5brpab57yovp76r S983 Tvrvrfbgaxjvygaqdldjg1g Usqp Cau

Fractures Distal Forearm Or Wrist

Fractures Distal Forearm Or Wrist

Buckle Fracture By Dr David Nelson Md

Buckle Fracture By Dr David Nelson Md

Emergency Medicine Pearls Pitfalls For Treatment Of Pediatric Distal Radius Fractures Acep Now

Emergency Medicine Pearls Pitfalls For Treatment Of Pediatric Distal Radius Fractures Acep Now

Wrist Torus And Greenstick Fractures

Wrist Torus And Greenstick Fractures

Buckle Fractures Torus Fractures Campbell Clinic Orthopaedics

Buckle Fractures Torus Fractures Campbell Clinic Orthopaedics

Wrist Torus And Greenstick Fractures

Wrist Torus And Greenstick Fractures

My Child Has A Buckle Fracture Now What Texas Scottish Rite Hospital For Children

My Child Has A Buckle Fracture Now What Texas Scottish Rite Hospital For Children

Buckle Fractures For Parents Nemours Kidshealth

Buckle Fractures For Parents Nemours Kidshealth

Orthokids Forearm Fractures

Orthokids Forearm Fractures

Emergency Medicine Pearls Pitfalls For Treatment Of Pediatric Distal Radius Fractures Acep Now

Emergency Medicine Pearls Pitfalls For Treatment Of Pediatric Distal Radius Fractures Acep Now

What Are Buckle Fractures Wristsupports Co Uk

What Are Buckle Fractures Wristsupports Co Uk

Featured Review Interventions For Treating Wrist Fractures Broken Wrists In Children Cochrane

Featured Review Interventions For Treating Wrist Fractures Broken Wrists In Children Cochrane

Parents Children Prefer Splints To Casts And Research Shows They Are Effective Health Stltoday Com

Parents Children Prefer Splints To Casts And Research Shows They Are Effective Health Stltoday Com

Buckle Fractures O Health

Buckle Fractures O Health

Distal Radius Torus Fracture Radiology Case Radiopaedia Org

Distal Radius Torus Fracture Radiology Case Radiopaedia Org

Splints Favored For Kids Forearm Buckle Fractures The Source Washington University In St Louis

Splints Favored For Kids Forearm Buckle Fractures The Source Washington University In St Louis

Buckle Fracture Raleigh Hand Surgery Joseph J Schreiber Md

Buckle Fracture Raleigh Hand Surgery Joseph J Schreiber Md

Pdf Application Of Removable Wrist Splint In The Management Of Distal Forearm Torus Fractures Semantic Scholar

Pdf Application Of Removable Wrist Splint In The Management Of Distal Forearm Torus Fractures Semantic Scholar

Wrist Fractures In Children How Are They Best Treated Evidently Cochrane

Wrist Fractures In Children How Are They Best Treated Evidently Cochrane

Radiograph Of Torus Fracture Of Distal Radius Anterior Posterior And Download Scientific Diagram

Radiograph Of Torus Fracture Of Distal Radius Anterior Posterior And Download Scientific Diagram

Wrist Buckle Fracture Sydney Children S Hospitals Network

Wrist Buckle Fracture Sydney Children S Hospitals Network

Medpix Case Distal Radius Torus Fracture Buckle Fracture

Medpix Case Distal Radius Torus Fracture Buckle Fracture

The Single Visit Treatment Of Pediatric Distal Radius Buckle Fractures A Center S Experience With The Treatment Algorithm Injury

The Single Visit Treatment Of Pediatric Distal Radius Buckle Fractures A Center S Experience With The Treatment Algorithm Injury

Choosing Wisely Distal Radius Buckle Fractures Canadiem

Choosing Wisely Distal Radius Buckle Fractures Canadiem

1

1

A buckle fracture that is treated properly should heal fine and without any long-term problems.

Buckle fractures typically occur when children fall and There are minor or buckle fractures of the wrist particularly in toddlers and preschool Yes you can treat a childs buckle fracture with a splint but I dont Benson said. We suggest that a Futura-type wrist splint can be used to treat these fractures. This simple treatment has major benefits in terms of cost and reduction of the number of attendances. ED casting may pose more risk than benefit for these children. Treatment We have provided your child with a wrist. A buckle fracture is common injury in children where the bone has not completely broken but has slightly cracked or kinked on one side only. This injury is treated like a sprain and will not cause any long term problems. Splinting in the ED with primary care follow-up appears to be a reasonable management strategy for thes. The duration of splint use and return to play should be guided primarily by pain and the degree of buckle fracture noted on the x-rays.


Your child should wear a removable backslab partial cast or splint for three weeks. Treatment We have provided your child with a wrist. It will decrease movement of the injured area and allow it to heal. Casting for wrist buckle fractures in children. Elevation - Keep the injured wrist elevated as much as possible for the first few days after the injury to minimize swelling. This injury is treated by wearing a removable back slab or ready-made splint Figure 2 which can be removed. Rinse and air dry only.

Post a Comment for "Buckle Fracture Wrist Treatment"