Skip to content Skip to sidebar Skip to footer

Vhl Disease Life Expectancy

Pdf Life Expectancy In Hereditary Cancer Predisposing Diseases An Observational Study

Pdf Life Expectancy In Hereditary Cancer Predisposing Diseases An Observational Study

Vhl disease life expectancy. Weve come a long way baby. Slow-growing hemgioblastomas -- benign tumors with many blood vessels -- may develop in the brain spinal cord the retinas of. Men with VHL have about a 55 chance of developing tumours in their reproductive tract called epididymal cystadenoma over their lifetime.

GS had the longest life expectancy at 734 years followed by NF1 at 715 years NF2 at 690 years FAP at 636 years and VHL at 525 years. VHL survival has historically been poorer than the survival of the general population with a median life expectancy for vHL patients of only 49 years. Having said this studies have found the average survival to be less than 50 years with one study in Great Britain in 2012 finding the average life expectancy to be 525 years.

Secondary effects from VHL manifestations are mitigated by routine surveillance and early detection. This article provides an overview of the major clinical histological and radiological findings as well as treatment modalities. The estimated median life expectancy for Chinese patients with VHL disease was 62 years.

Despite recent advances in clinical diagnosis and management life expectancy for VHL patients remains low at 40-52 years. The disease has been reported to be fully penetrant at 60 years of age and has a highly variable phenotype which complicates vHL management and causes distress and uncertainty for affected families. Patients with early-onset age positive family history and truncating mutation types had poorer overall and VHL-related survival.

Results The estimated median life expectancy for Chinese patients with VHL disease was 62 years. Patients with VHL have a life expectancy of 50 years. Systemic morbidity is mainly due to RCC and pheochromocytoma.

Despite advances in early diagnosis and management of VHL disease life expectancy for VHL patients remains low at 40-52 years. Von HippelLindau VHL disease is a rare hereditary cancer syndrome that reduces life expectancy. VHL also means we have a 90 chance of developing tumors and cancer in a wide variety of places in our bodies.

People with VHL have about an 80 chance of developing kidney cancer over their lifetime. It literally takes my breath away.

Von Hippel Lindau Syndrome Causes Symptoms Diagnosis Treatment

Von Hippel Lindau Syndrome Causes Symptoms Diagnosis Treatment

Kaplanemeier Survival Curve Comparing Life Expectancy In People With Download Scientific Diagram

Kaplanemeier Survival Curve Comparing Life Expectancy In People With Download Scientific Diagram

Von Hippel Lindau Syndrome Medlineplus Genetics

Von Hippel Lindau Syndrome Medlineplus Genetics

Comparison Between Median Life Expectancies By Diagnosis Download Table

Comparison Between Median Life Expectancies By Diagnosis Download Table

Http Ugeskriftet Dk Files B5461 Von Hippel Lindau Disease Diagnosis And Factors Influencing Disease Outcome Pdf

Http Ugeskriftet Dk Files B5461 Von Hippel Lindau Disease Diagnosis And Factors Influencing Disease Outcome Pdf

Frontiers Hemangioblastoma Instead Of Renal Cell Carcinoma Plays A Major Role In The Unfavorable Overall Survival Of Von Hippel Lindau Disease Patients Oncology

Frontiers Hemangioblastoma Instead Of Renal Cell Carcinoma Plays A Major Role In The Unfavorable Overall Survival Of Von Hippel Lindau Disease Patients Oncology

Von Hippel Lindau Disease Rare Genetic Disorder Causes Symptoms Diagnosis Treatment And Prognosis

Von Hippel Lindau Disease Rare Genetic Disorder Causes Symptoms Diagnosis Treatment And Prognosis

Survival And Causes Of Death In Patients With Von Hippel Lindau Disease Journal Of Medical Genetics

Survival And Causes Of Death In Patients With Von Hippel Lindau Disease Journal Of Medical Genetics

Risk Factors For Survival In Patients With Von Hippel Lindau Disease Journal Of Medical Genetics

Risk Factors For Survival In Patients With Von Hippel Lindau Disease Journal Of Medical Genetics

What Is The Life Expectancy Of Someone With Von Hippel Lindau Disease

What Is The Life Expectancy Of Someone With Von Hippel Lindau Disease

Frontiers Hemangioblastoma Instead Of Renal Cell Carcinoma Plays A Major Role In The Unfavorable Overall Survival Of Von Hippel Lindau Disease Patients Oncology

Frontiers Hemangioblastoma Instead Of Renal Cell Carcinoma Plays A Major Role In The Unfavorable Overall Survival Of Von Hippel Lindau Disease Patients Oncology

Von Hippel Lindau Syndrome Medlineplus Genetics

Von Hippel Lindau Syndrome Medlineplus Genetics

Von Hippel Lindau Disease Rare Genetic Disorder Causes Symptoms Diagnosis Treatment And Prognosis

Von Hippel Lindau Disease Rare Genetic Disorder Causes Symptoms Diagnosis Treatment And Prognosis

Von Hippel Lindau Syndrome Causes Symptoms Diagnosis Treatment

Von Hippel Lindau Syndrome Causes Symptoms Diagnosis Treatment

Scielo Brasil Preimplantation Genetic Diagnosis Of Von Hippel Lindau Disease Cancer Syndrome By Combined Mutation And Segregation Analysis Preimplantation Genetic Diagnosis Of Von Hippel Lindau Disease Cancer Syndrome By Combined Mutation And

Scielo Brasil Preimplantation Genetic Diagnosis Of Von Hippel Lindau Disease Cancer Syndrome By Combined Mutation And Segregation Analysis Preimplantation Genetic Diagnosis Of Von Hippel Lindau Disease Cancer Syndrome By Combined Mutation And

Classification Of Von Hippel Lindau Syndrome Download Table

Classification Of Von Hippel Lindau Syndrome Download Table

Prevalence Birth Incidence And Penetrance Of Von Hippel Lindau Disease Vhl In Denmark European Journal Of Human Genetics

Prevalence Birth Incidence And Penetrance Of Von Hippel Lindau Disease Vhl In Denmark European Journal Of Human Genetics

Von Hippel Lindau Disease Rare Genetic Disorder Causes Symptoms Diagnosis Treatment And Prognosis

Von Hippel Lindau Disease Rare Genetic Disorder Causes Symptoms Diagnosis Treatment And Prognosis

Von Hippel Lindau Disease Wikipedia

Von Hippel Lindau Disease Wikipedia

Von Hippel Lindau Disease Current Challenges And Future Prospects Ott

Von Hippel Lindau Disease Current Challenges And Future Prospects Ott

Von Hippel Lindau Development In Children And Adolescents Launbjerg 2017 American Journal Of Medical Genetics Part A Wiley Online Library

Von Hippel Lindau Development In Children And Adolescents Launbjerg 2017 American Journal Of Medical Genetics Part A Wiley Online Library

Scielo Brasil Preimplantation Genetic Diagnosis Of Von Hippel Lindau Disease Cancer Syndrome By Combined Mutation And Segregation Analysis Preimplantation Genetic Diagnosis Of Von Hippel Lindau Disease Cancer Syndrome By Combined Mutation And

Scielo Brasil Preimplantation Genetic Diagnosis Of Von Hippel Lindau Disease Cancer Syndrome By Combined Mutation And Segregation Analysis Preimplantation Genetic Diagnosis Of Von Hippel Lindau Disease Cancer Syndrome By Combined Mutation And

Von Hippel Lindau Disease The Lancet

Von Hippel Lindau Disease The Lancet

Https Encrypted Tbn0 Gstatic Com Images Q Tbn And9gcqnfbhm2fki0qwwpdl9iny2wt3ngwkknxpjhfsa Zgbbodv Hay Usqp Cau

Https Encrypted Tbn0 Gstatic Com Images Q Tbn And9gcqnfbhm2fki0qwwpdl9iny2wt3ngwkknxpjhfsa Zgbbodv Hay Usqp Cau

What Is The Life Expectancy Of Someone With Von Hippel Lindau Disease

What Is The Life Expectancy Of Someone With Von Hippel Lindau Disease

Von Hippel Lindau Disease Endotext Ncbi Bookshelf

Von Hippel Lindau Disease Endotext Ncbi Bookshelf

Frontiers Hemangioblastoma Instead Of Renal Cell Carcinoma Plays A Major Role In The Unfavorable Overall Survival Of Von Hippel Lindau Disease Patients Oncology

Frontiers Hemangioblastoma Instead Of Renal Cell Carcinoma Plays A Major Role In The Unfavorable Overall Survival Of Von Hippel Lindau Disease Patients Oncology

Scielo Brasil Preimplantation Genetic Diagnosis Of Von Hippel Lindau Disease Cancer Syndrome By Combined Mutation And Segregation Analysis Preimplantation Genetic Diagnosis Of Von Hippel Lindau Disease Cancer Syndrome By Combined Mutation And

Scielo Brasil Preimplantation Genetic Diagnosis Of Von Hippel Lindau Disease Cancer Syndrome By Combined Mutation And Segregation Analysis Preimplantation Genetic Diagnosis Of Von Hippel Lindau Disease Cancer Syndrome By Combined Mutation And

Growth Characteristics And Therapeutic Decision Markers In Von Hippel Lindau Disease Patients With Renal Cell Carcinoma Orphanet Journal Of Rare Diseases Full Text

Growth Characteristics And Therapeutic Decision Markers In Von Hippel Lindau Disease Patients With Renal Cell Carcinoma Orphanet Journal Of Rare Diseases Full Text

Frontiers Hemangioblastoma Instead Of Renal Cell Carcinoma Plays A Major Role In The Unfavorable Overall Survival Of Von Hippel Lindau Disease Patients Oncology

Frontiers Hemangioblastoma Instead Of Renal Cell Carcinoma Plays A Major Role In The Unfavorable Overall Survival Of Von Hippel Lindau Disease Patients Oncology

Somatostatin Receptor Expression On Von Hippel Lindau Associated Hemangioblastomas Offers Novel Therapeutic Target Scientific Reports

Somatostatin Receptor Expression On Von Hippel Lindau Associated Hemangioblastomas Offers Novel Therapeutic Target Scientific Reports

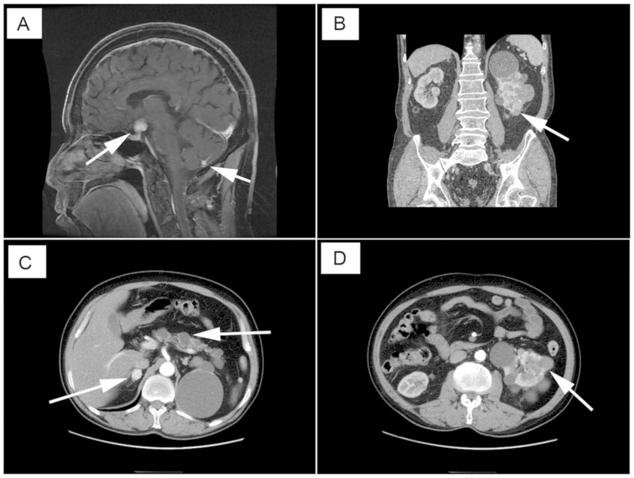
Tumors In Von Hippel Lindau Syndrome From Head To Toe Comprehensive State Of The Art Review Radiographics

Tumors In Von Hippel Lindau Syndrome From Head To Toe Comprehensive State Of The Art Review Radiographics

B Genotype Phenotype Correlations In Vhl Disease The Pie Charts Show Download Scientific Diagram

B Genotype Phenotype Correlations In Vhl Disease The Pie Charts Show Download Scientific Diagram

Latest Research Vhl Alliance

Latest Research Vhl Alliance

Genetic Evaluation Of Von Hippel Lindau Disease For Early Diagnosis And Improved Prognosis Springerlink

Genetic Evaluation Of Von Hippel Lindau Disease For Early Diagnosis And Improved Prognosis Springerlink

Von Hippel Lindau Disease Current Challenges And Future Prospects Ott

Von Hippel Lindau Disease Current Challenges And Future Prospects Ott

What Is Von Hippel Lindau Syndrome

What Is Von Hippel Lindau Syndrome

Figure 1 From Renal Cancer In Von Hippel Lindau Disease And Related Syndromes Semantic Scholar

Figure 1 From Renal Cancer In Von Hippel Lindau Disease And Related Syndromes Semantic Scholar

Tumors In Von Hippel Lindau Syndrome From Head To Toe Comprehensive State Of The Art Review Radiographics

Tumors In Von Hippel Lindau Syndrome From Head To Toe Comprehensive State Of The Art Review Radiographics

Distinctive Clinicopathological Features Of Von Hippel Lindau Associated Hereditary Renal Cell Carcinoma A Single Institution Study

Distinctive Clinicopathological Features Of Von Hippel Lindau Associated Hereditary Renal Cell Carcinoma A Single Institution Study

Von Hippel Lindau Disease Current Challenges And Future Prospects Ott

Von Hippel Lindau Disease Current Challenges And Future Prospects Ott

Latest Research Vhl Alliance

Latest Research Vhl Alliance

Von Hippel Lindau Disease Sciencedirect

Von Hippel Lindau Disease Sciencedirect

Scielo Brasil Preimplantation Genetic Diagnosis Of Von Hippel Lindau Disease Cancer Syndrome By Combined Mutation And Segregation Analysis Preimplantation Genetic Diagnosis Of Von Hippel Lindau Disease Cancer Syndrome By Combined Mutation And

Scielo Brasil Preimplantation Genetic Diagnosis Of Von Hippel Lindau Disease Cancer Syndrome By Combined Mutation And Segregation Analysis Preimplantation Genetic Diagnosis Of Von Hippel Lindau Disease Cancer Syndrome By Combined Mutation And

Expression Of The Von Hippel Lindau Tumor Suppressor Gene Vhl In Human Fetal Kidney And During Mouse Embryogenesis Abstract Europe Pmc

Expression Of The Von Hippel Lindau Tumor Suppressor Gene Vhl In Human Fetal Kidney And During Mouse Embryogenesis Abstract Europe Pmc

Microsurgical Treatment Of Sporadic And Von Hippel Lindau Disease Associated Spinal Hemangioblastomas A Single Institution Experience

Microsurgical Treatment Of Sporadic And Von Hippel Lindau Disease Associated Spinal Hemangioblastomas A Single Institution Experience

Https Pubs Rsna Org Doi Pdf 10 1148 Rg 281075052

Https Pubs Rsna Org Doi Pdf 10 1148 Rg 281075052

Von Hippel Lindau Disease Current Challenges And Future Prospects Ott

Von Hippel Lindau Disease Current Challenges And Future Prospects Ott

1

1

Patients with VHL have a life expectancy of 50 years.

The estimated median life expectancy for Chinese patients with VHL disease was 62 years. For ophthalmologists a study looking at the visual effect of VHL found that the prevalence of severe bilateral vision loss is about one in 18. People with VHL have about an 80 chance of developing kidney cancer over their lifetime. Weve come a long way baby. VHL life expectancy is expected to be. GS had the longest life expectancy at 734 years followed by NF1 at 715 years NF2 at 690 years FAP at 636 years and VHL at 525 years. The disease has been reported to be fully penetrant at 60 years of age and has a highly variable phenotype which complicates vHL management and causes distress and uncertainty for affected families. The estimated median life expectancy for Chinese patients with VHL disease was 62 years. Having said this studies have found the average survival to be less than 50 years with one study in Great Britain in 2012 finding the average life expectancy to be 525 years.


VHL also means we have a 90 chance of developing tumors and cancer in a wide variety of places in our bodies. Previously VHLers lived to about age 52-54. The diagnostic criteria for VHL disease 6. NF2 147 years FAP 139 years VHL 163 years and GS 112 years. Patients with early-onset age positive family history and truncating mutation types had poorer overall and VHL-related survival. VHL life expectancy is expected to be. Systemic morbidity is mainly due to RCC and pheochromocytoma.

Post a Comment for "Vhl Disease Life Expectancy"